
Study shows Ibex’s AI boosts pathologists’ diagnostic accuracy to 100% and shortens case review time
BOSTON–(BUSINESS WIRE)–A newly published peer-reviewed article on a study conducted at The Ohio State University Wexner Medical Center confirms that Ibex Breast, an AI-powered diagnostic support solution developed by Ibex Medical Analytics (Ibex), significantly improves accuracy and efficiency in evaluating breast pathology cases. The findings, published in Clinical Breast Cancer, demonstrate how AI technology can assist pathologists in providing patients with quicker and more trusted diagnostic results.
“This study represents a critical step forward in validating the role of AI in breast pathology,” said Zaibo Li, MD, PhD, MBA, Department of Pathology at The Ohio State University Wexner Medical Center. “Our findings show that AI-powered tools can enhance diagnostic accuracy and improve workflow by reducing review times and additional testing.”
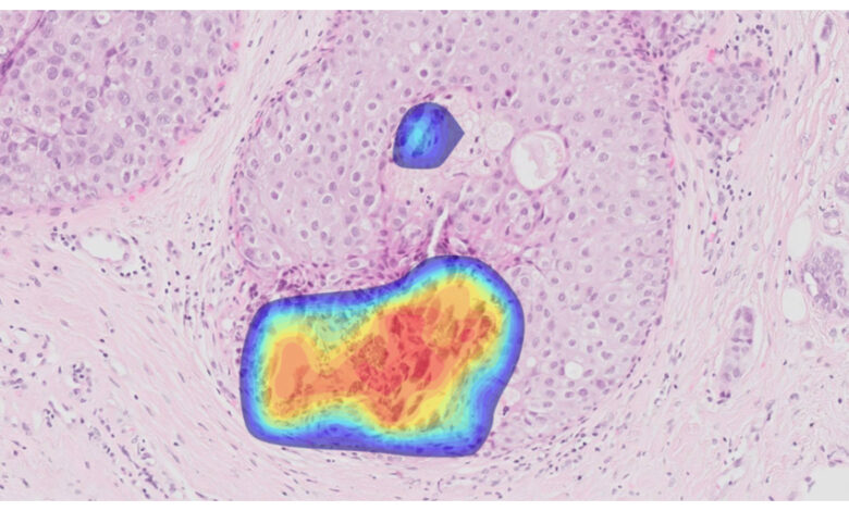
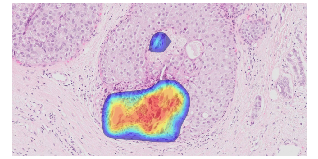
The study analyzed 104 real-world breast biopsies, including invasive and microinvasive carcinomas, ductal carcinoma in situ (DCIS), atypical lobular hyperplasia (ALH) and other benign lesions. Three expert breast pathologists independently reviewed each case digitally, both with and without the support of Ibex Breast. Results demonstrated a clear benefit: when using AI, diagnostic accuracy improved from 97.1% to 100%, with previously missed precancerous lesions, such as lobular neoplasia and microcalcifications, correctly identified. Pathologists using AI also experienced up to 23% reduction in review time and an average 33% decrease in immunohistochemistry (IHC) test orders; these more efficient workflows increase pathologists’ productivity, reduce turnaround times, and ensure patients receive their diagnosis as soon as possible.
Released in 2022, Ibex Breast detects more than 50 tissue morphologies – both malignant and benign – and has been widely adopted by leading pathology labs worldwide. The AI solution was trained and validated on a large and diverse collection of breast slides from laboratories around the world utilizing different digital scanner models. A global team of senior pathologists marked and labelled tissue morphologies, to ensure the AI’s accuracy and the robustness of diagnostic support provided. By accurately classifying challenging lesions and supporting real-time diagnostic decisions, Ibex Breast delivers both clinical and operational value to pathology labs under pressure.
“Beyond the numbers, Ibex Breast bolsters pathologists’ confidence and peace of mind, especially when navigating complex or borderline cases. What this ultimately means is that patients can receive their diagnosis sooner – and that’s absolutely critical in breast cancer, where time matters both medically and emotionally,” said Dr. Manuela Vecsler, VP of Clinical and Scientific Affairs at Ibex Medical Analytics.
The increasing number of breast cancer cases and growing case complexity with advances in precision oncology, combined with a shortage of pathologists, makes Ibex Breast an essential tool for improving diagnostic consistency, reducing turnaround times, and alleviating the resource strain throughout the U.S. healthcare system.
About Ibex Medical Analytics
Ibex Medical Analytics is transforming cancer diagnostics with world-leading clinical grade AI-powered solutions for pathology. Empowering physicians and supporting pathologists, Ibex is on a mission to provide accurate, timely and personalized cancer diagnosis for every patient. Ibex is the first and most widely deployed AI-powered platform in pathology. Pathologists worldwide use Ibex as part of their everyday routine to improve the accuracy of cancer diagnosis, implement comprehensive quality control measures, reduce turnaround times, and boost productivity with more efficient workflows.
The Ibex platform includes solutions that are CE-IVD certified and registered with the UK MHRA, TGA in Australia and ANVISA in Brazil. It includes a solution that is FDA cleared and others that are Research Use Only (RUO) in the United States.
Contacts
Abby Ramsay
Greenough Communications
[email protected]





